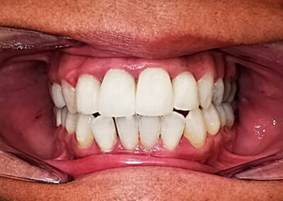
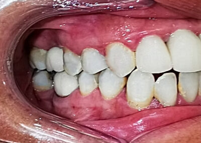
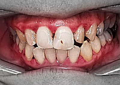
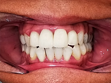
Crowns & Bridges
Crowns:
Your tooth crown is the most visible part of the tooth structure. An artificial crown will cover a weak tooth above the gum line to protect it. Made from metal or porcelain, or both, crowns are strong and natural looking with the shade and form matched to your adjacent dentition. Crowns may last for many years, with good oral hygiene and care.
Bridges:
Bridges fix replacement teeth to the existing adjacent dentition. Made of metal or porcelain, or both, these appliances can come in the form of a conventional bridge, a stick-on bridge or an implant-supported bridge
A bridge is one possible solution for one or more missing teeth and can improve chewing and biting functions as well as your facial profile. If properly looked after, your bridge can last for many years.
An alternative to a bridge is a removable partial denture, particularly if the adjacent teeth are loose or decayed.Β Replacing missing teeth with dental implantsΒ may also be suitable for some patients.
Why not book a video consultation to explore all of the options available to you?










